توجد الكثير من المشاكل التي يمكن أن تتعرض لها الأسنان، مثل التسوس والكسر وظهور الشقوق نتيجة صدمة ما، وبدلاً من خلع الضرس وللاستفادة منه لأطول فتره ممكنة، يقوم الأطباء بحشو الضرس بمادة معينة، توجد العديد من أنواع الحشوات المستخدمة في هذه الحالة، والتي يوضحها لنا مركز الدكتورة إسراء السعيد لطب الفم والأسنان بالتفصيل في هذا المقال.
حشو الضرس
حشو الضرس هو نوع من أنواع العلاج الترميمي المستخدم مع الضروس والأسنان، في هذا الإجراء يقوم طبيب الأسنان بإصلاح الشقوق والتجاويف الصغيرة الموجودة في الضروس، بغرض الحفاظ عليها لأطول فترة ممكنة، والاستفادة منه في مضغ الطعام.
خلال هذا الإجراء، يتم استخدام مادة خاصة لحشو الضرس وتعويض الفقد فيه؛ لأن اهمال التجاويف في الضرس تجعل التجويف أكبر بمرور الوقت، بالتالي كلما تم اكتشاف المشكلة أسرع والتعامل معها، كلما قلت احتمالية تعرض المريض لمشاكل أخرى لاحقًا، لهذا السبب فإن الفحوصات المنتظمة للأسنان مهمة.
انواع حشو الضرس
يوجد أكثر من نوع من الحشوات التي يستخدمها الطبيب لحشو الضروس، والاختيار بينها يعتمد على نوع العلاج الذي يحتاجه المريض، ومقدار الضرر الموجود في الضروس، وأهم أنواع حشوات الضروس الموجودة ما يلي:
1- الحشوة الفضية
هي الحشوة التقليدية ذات اللون الفضي، والمصنوعة من مزيج من المعادن، وهذه المعادن هي الفضة والقصدير والنحاس.
المميز في هذه الحشوة أنها صلبة وشديد التحمل، لذا فهي مثالية للضروس الخلفية، كما أنها تعيش لفترة طويلة، حيث يمكن أن تبقى لمدة تصل إلى 20 عامًا، طالما اعتنى بها المريض جيدًا.
هذا النوع من الحشو غير مناسب مع السيدة الحامل، لذا إذا كانت المرأة حامل يجب عليها إخبار الطبيب قبل وضع حشوه ما.
2- الحشوات المركبة
الحشوات المركبة من ضمن أنواع حشو الضرس المعروفة لدى المرضى باسم الحشوات البيضاء، هي من افضل انواع حشوات الضروس، فلها العديد من المميزات، مثل أنها تتطابق تمامًا مع لون أسنان المريض، بالتالي يصعب معرفة ما إذا كان هذه حشو أو لا، أيضًا تبدو طبيعية جدًا، بالتالي فهي رائعة إذا كان الحشو مرئيًا عند الإبتسامة أو الضحك أو التحدث.

3- حشوات البورسلين
تُعرف باسم حشوات السيراميك، وهي من الحشوات التجميلية التي يمكن استخدامها في حال فقدان أي من الأسنان الأمامية.
تتميز هذه الحشوة بالقوة والمتانة، كذلك لونها يبقى ولا يتغير بمرور الوقت، بالإضافة إلى ذلك فهي أكثر مقاومة للتآكل بالمقارنة بالحشوات الأخرى المركبة.
4- الحشوات الزجاجية
تُعرف الحشوات الزجاجية باسم حشو الأسنان جلاس، هي عبارة عن حشوة خاصة مصنوعة من مجموعة من المركبات، والتي من بينها الكالسيوم، السيليكا، الألمونيا والفلورايد، والذي يعمل على حماية الأسنان من التسوس، وتعتبر الخيار الأمثل للأطفال والكبار، حيث تتميز بصلابتها وقدرتها على التحمل.
5- الحشوات الذهبية
هي من أقوى أنواع حشوات الأسنان المستخدمة في العيادات، بالرغم من ذلك لم تعد تُستخدم بكثرة كما كان في السابق؛ نظرًا لارتفاع قيمتها وشكلها غير الجمالي.
تُصنع حشو الضرس الذهبي من الذهب المضاف إليه النحاس ومعادن أخرى، ولها بعض المميزات، مثل أنها تتمتع بالقوة والصلابة، وأيضًا هذه الحشوات مقاومة للتآكل، كما أنها تعيش لفتره طويلة.
اسباب حشو الضرس
توجد الكثير من الأسباب التي تجعل المريض بحاجة للخضوع لإجراء حشو الضرس، وهذا الإجراء يمكن القيام به مع الأطفال والبالغين على حد سواء، من أهم أسباب الحاجة إلى حشو الضروس ما يلي:
1- تسوس الأسنان
تسوس الأسنان هو السبب الأكثر شيوعًا والذي يستدعي حشو الضرس، ويحدث نتيجة تراكم البكتيريا، والتي تتغذى على السكريات والنشويات المتبقية على الأسنان من الطعام أو الشراب، مما يتسبب في تكوين البلاك.
تعمل الأحماض الموجودة في البلاك على تليين المينا، وهي الطبقة الصلبة الموجودة على الأسنان والتي تحميها، ونتيجة للين تظهر بهذه الطبقة بعض الثقوب الصغيرة، والتي تنمو بعد ذلك بشكل أكبر مسببة التسوس.
2- التآكل الحمضي
يمكن أن تتآكل طبقة المينا الواقية لدى المريض بسبب الأحماض الموجودة في بعض الأطعمة والمشروبات، أو بسبب بعض المشاكل الطبية، مثل الارتجاع أو فتق الحجاب الحاجز.
3- وجود كسر ما في الضرس
في بعض الحالات، يعاني بعض المرضى من وجود جزء مكسور في ضرسهم نتيجة إصابة ما، أو نتيجة تناولهم لطعام قاسي وصلب، هذا الكسر يؤدي إلى كشف الأجزاء الداخلية من الضرس، ويؤدي إلى تآكله مع مرور الوقت.
أسباب وجع الضرس بعد الحشو بفترة
بعض المرضى يعانون من وجع في الضرس بعد الانتهاء من عملية حشو الضرس، ويحتاج التعرف على سبب هذا الوجع زيارة طبيب الأسنان المختص؛ من أجل إعطاء المريض العلاج المناسب.
ومن ضمن اسباب الم الضرس بعد الحشو العادى ما يلي:
- ظهور رد فعل تحسسي: يمكن أن يكون سبب الإنزعاج أو الحساسية بعد الحشو هو ظهور رد الفعل التحسسي تجاه مادة الحشو المستخدمة، ويكون الحل هو استبدال الحشوة بأخرى من مادة مختلفة لا تسبب الحساسية للمريض.
- تركيب الحشوة بطريقة غير صحيحة: يمكن أن يشعر المريض بالالم بعد حشو العصب نتيجة عدم مناسبة الحشوة للمكان الموضوع فيه، بالتالي تتعرض الأسنان لمزيد من الضغط الذي يجعل المريض يشعر بالألم وعدم الراحة.
- التهاب لب الضرس: وهو عبارة عن التهاب يظهر في لب الضرس، واللب يحتوي على الأوعية الدموية والأعصاب والنسيج الضام داخل السن، وهو المسؤول عن توفير الدم والمواد المغذية للأسنان.
- فرط حساسية العاج: وهو عبارة عن ألم أسنان حاد وقصير المدى، يظهر نتيجة وجود جزء مكشوف من عاج الأسنان، وعادًة ما يكون حساس بصورة كبيرة مع درجات الحرارة المرتفعة والمنخفضة.
- العدوى: هي أحد أهم اسباب الم الضرس بعد الحشو المؤقت، حيث يمكن أن تتسلل البكتيريا إلى المنطقة المحيطة بالحشوة، مسببة العدوى والشعور بالألم.

كيفية حشو الضرس
خطوات حشو الضرس عادًة ما تكون خطوات ثابتة يقوم بها أطباء الأسنان مع جميع الحالات، ولكن هناك اختلاف بسيط يظهر فيها باختلاف نوع الحشو المستخدم في الضرس، مع ذلك خطوات حشو الضروس في العموم تكون كالتالي:
- يخدر طبيب الأسنان المريض موضعيًا.
- يزيل الطبيب الأنسجة التالفة وينظف مكان الحشو باستخدام أدوات متخصصة.
- يملأ الطبيب الحفرة بمادة حشو معينة.
- يستخدم الطبيب ضوء خاص لتجميد المادة.
- يقوم الطبيب بعد ذلك بتلميع وتنعيم أي حواف خشنة.
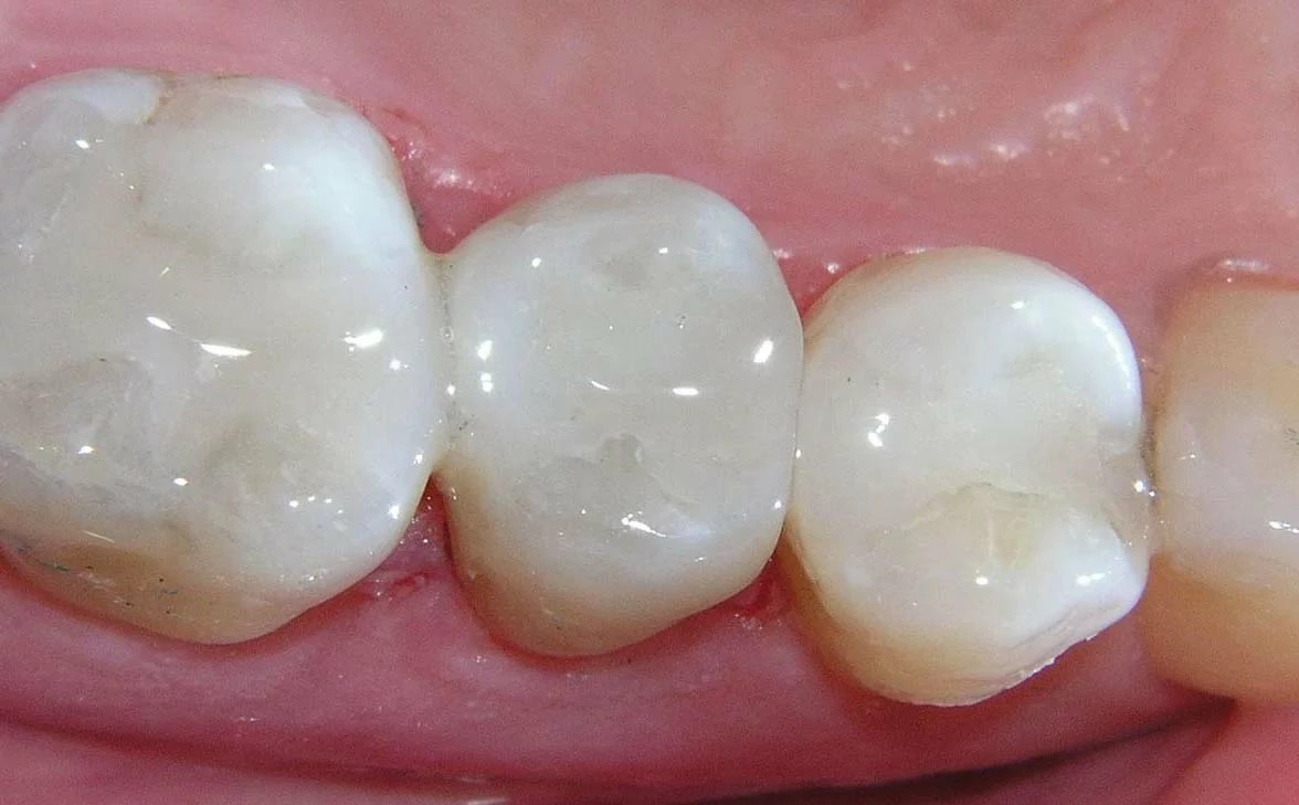
شكل الضرس بعد الحشو
عادًة ما يتطابق لون مادة الحشو المستخدمة في الضرس مع الأسنان الطبيعية الأخرى الموجودة في الفم، مما يجعل الضرس الذي يتم حشوه يمتزج بشكل طبيعي وغير محسوس مع باقي الأسنان.
مع مرور الوقت، يجب أن تظل المنطقة المملوءة سليمة ولا يحدث بها أي تغييرات في الشكل أو الملمس، كما يجب أن يحتفظ الضرس بوظيفته الأساسية في مضغ الطعام.
بديل حشو الضرس
حشو الضرس هي علاج ترميمي مناسب وغير مكلف للأسنان، يوصى به طبيب الأسنان في العديد من الحالات، ومع ذلك، هناك خيارات أخرى لإصلاح الأسنان، تشمل هذه الخيارات والبدائل ما يلي:
1- تيجان الأسنان
التاج المعروف باسم القبعة هو عبارة عن غطاء للضرس أو السن، يحمي الأسنان التي تعرضت لأضرار بالغة، ويعمل التاج على تحسين مظهر ووظيفة السن الذي يغطيه.
2- تطعيمات الأسنان
وهي عبارة عن ترميمات للأسنان، يتم إجراؤها في مختبر الأسنان لعلاج الأضرار الشديدة جدًا في الضروس والأسنان.
3- جسر الأسنان
جسر الأسنان هو جهاز اصطناعي يستخدم لتعويض واحد أو أكثر من الأسنان المفقودة، يتم وضع التيجان على الأسنان الطبيعية الأقرب إلى الفجوة، ويتم تثبيت الأسنان الصناعية في مكانها بواسطة التيجان.
4- زراعة الأسنان
هي الطريقة الأكثر فعالية لتعويض الأسنان المفقودة، يتم فيها تركيب دعامة خاصة للضرس داخل اللثة على الجزء الخارجي منها فوق اللثة، كما يتم تركيب تاج مناسب ومحاكي لباقي الأسنان الموجودة في الفم.
علاج ألم الضرس بعد الحشو الدائم
إذا شعر المريض بألم بعد تركيب الحشو الدائم على الضرس، عليه أن يذهب إلى طبيب الأسنان مباشرة؛ لمعرفة سبب الألم، ومعرفة طريقة العلاج المناسبة في هذه الحالة، بجانب ذلك على المريض تجربة هذه النصائح التي توصي بها دكتورة إسراء السعيد، وهي:
- تنظيف الأسنان باستخدام معجون أسنان مخصص للأسنان الحساسة، إذ تساعد نترات البوتاسيوم الموجودة به على منع الشعور بألم حساسية الأسنان.
- استخدام مسكنات الألم المتاحة دون وصفة طبية.
- استخدام فرشاة أسنان ناعمة.
- التوقف عن استخدام منتجات تبييض الأسنان التي تزيد من حساسية الأسنان.
علاج التهاب اللثة بعد حشو الضرس
يهدف علاج التهاب اللثة بعد حشو الضرس إلى السيطرة على العدوى واستعادة صحة الأسنان واللثة، وتشمل خيارات العلاج المتاحة في هذه الحالة ما يلي:
- الذهاب إلى عيادة أسنان من أجل الحصول على تنظيف عميق للأسنان يصل تحت اللثة، حيث يقوم الطبيب بإزالة طبقة الجير والبكتيريا الموجودة على سطح الأسنان.
- تحسين نظافة الفم عن طريق المواظبة على التنظيف الجيد للأسنان؛ من أجل التخلص من التهاب اللثة وعدم عودته مرة أخرى.
- استخدام غسول الفم المضاد للميكروبات الذي يقضي على البكتيريا المسببة للأمراض.
- إصلاح مشاكل الأسنان المختلفة مثل الكسور والتسوس وغيرها.
ايهما افضل خلع الضرس او حشوه؟
لا يمكن معرفة الإجراء المناسب تجاه الضرس المتضرر بدون معرفة التفاصيل الأخرى عن الضرس وعن المريض، ففي بعض حالات التسوس البسيط، يكون خيار الحشو هو الخيار الأفضل؛ لتفادي فقدان ضرس وللاستفادة منه لفتره طويلة، أما في الحالات التي يكون فيها التسوس عميق ويمكن أن يكون مهددًا لحياة المريض ويتسبب في انتشار العدوى، يكون الخلع هو الحل الأمثل للقضاء على مشكلة التسوس.

سعر حشو الضرس
توجد العديد من العوامل التي تؤخذ في الحسبان عند تحديد سعر حشو الضرس، هذه العوامل تلعب دور هام في تحديد تكلفة الحشو بدقة، ومن أهم هذه العوامل ما يلي:
- خبره ومهارة طبيب الأسنان القائم على الإجراء.
- نوع مادة الحشو المستخدمة.
- كمية الحشوة المستخدمة في الضرس.
- عدد الضروس التي يحتاج المريض لحشوها.
- عدد الجلسات التي يحددها الطبيب للانتهاء من الحشو.
- مكان عيادة الأسنان.
سعر حشو الضرس البلاتين
توجد الكثير من المميزات التي يحصل عليها المريض في حال استخدام مادة البلاتين في الحشو، من بين هذه المميزات أن المريض سيحصل على حشوة قوية ومتينة، ذات لون محاكي للون الأسنان الطبيعية.
تتراوح تكلفة هذه الحشوة ما بين 1500 إلى 5000 جنيه مصري، ويعتمد تحديد السعر النهائي على العوامل المذكورة سابقًا.
سعر حشو الضرس العادى
الحشو العادي للضرس لا يكلف الكثير من المال على خلاف أنواع الحشو الأخرى، حيث تتراوح تكلفة الحشو العادي في معظم العيادات ما بين 500 إلى 2500 جنيه مصري، وتحديد السعر النهائي يعتمد على الكشف والعوامل المذكورة التي يحددها الطبيب مع المريض.
سعر حشو الضرس العصب
تكلفة حشو ضرس ما عصب تتراوح بين 1500 و3000 جنيه مصري، وتحديد ما إذا كان هذا النوع من الحشو هو المناسب والمثالي في هذه الحالة يتوقف على حالة المريض ومدى الضرر اللاحق بالضرس؛ لذا بعد الكشف يوصي الطبيب بنوع الحشو المناسب مع المريض.
سعر حشو الضرس بالليزر
يبدأ سعر حشو ضرس ما بالليزر من 1500 جنيه مصري، ويمكن أن يرتفع هذا السعر قليلًا بإختلاف بعض العوامل التي تم ذكرها فيما سبق.
سعر حشو الضرس للاطفال
لا تختلف كثيرًا تكلفة حشو ضرس ما لطفل عن تكلفة حشو ضرس الشخص البالغ، حيث يتراوح سعر الحشو للأطفال ما بين الـ 1000 إلى 2500 جنية مصري، ويعتمد على العوامل السابقة، والتي من بينها كمية المادة المستخدمة، ونوع الحشو المستخدم والذي يوصي به الطبيب في هذه الحالة.
في الختام توجد العديد من خيارات حشو الضرس المتاحة في عيادات الأسنان، والتي يختار من بينها طبيب الأسنان المحترف حسب حالة وحاجة المريض، لذا إذا كنت ترغب في معرفة تفاصيل أكثر عن الحشو، وتجربة حشوات الأسنان لعلاج مشاكل الأسنان المختلفة، احجز استشارتك الآن في مركز الدكتورة اسراء السعيد لطب الفم والأسنان.
