التهاب اللثة هي واحدة من مشاكل الفم الشائعة والتي يعاني منها الكثير من المرضى، وتحدث نتيجة تراكم البلاك والبكتيريا على الأسنان، مما يسبب العدوى.
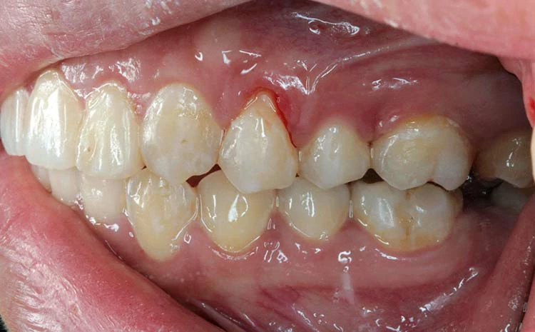
تشمل الأعراض الشائعة لهذه المشكلة احمرار اللثة وتورمها ونزيفها، هذه المشكلة تحتاج إلى علاج فوري وفعال؛ لأن إهمالها يؤدي إلى تأثر دواعم الأسنان.
في هذا المقال، نتولى بالشرح مهرفة ماهية التهاب اللثة، وما هي أسبابها، وأعراضها، وطرق علاجها، بالإضافة إلى كيفية تجنبها.
التهاب اللثة
هو أحد أكثر مشاكل اللثة والأسنان انتشارًا، وفيها يتراكم الجير والبلاك والبكتيريا على أسنان المريض، مما يتسبب في العدوى وظهور التهابات اللثة، والتي تظهر في صورة تورم واحمرار في اللثة ورائحة كريهة في الفم، كما تظهر أيضًا في صورة حساسية الأسنان من المشروبات الساخنة أو الباردة.
على الرغم من عدم خطورة هذه المشكلة، إلا أن إهمالها وتركها بدون علاج قد يتسبب في العديد من المشاكل، فالتهاب اللثه يمكن أن يصل إلى دواعم الأسنان، وهي العظام الموجودة في الفك والتي تدعم الأسنان، مما يتسبب في فقدانها على المدى البعيد.
أنواع التهاب اللثة بالصور
توجد العديد من الأنواع لالتهاب الأسنان واللثة، وهذه الأنواع يمكن تشخيصها بواسطة طبيب الأسنان الماهر، وهذه الأنواع هي:
- التهاب اللثة الهرموني: هو اضطراب شائع في الأسنان، يتم التعرف عليه عن طريق التهاب أنسجة اللثة الناتج عن التغيرات الهرمونية في الجسم، فارتفاع هرمونات معينة في الجسم يتسبب في التهاب الأسنان واللثة، مثل ارتفاع مستوى الهرمونات الأنثوية.
- التهاب اللثة التقرحي الناخر الحاد (ANUG): هو أحد أنواع التهابات اللثة المؤلمة، ويتميز هذا النوع بظهور أعراض مثل ألم في الفم ورائحة كريهة للفم، وينتشر هذا النوع بين المدخنين والمرضى ذوي المناعة المنخفضة.
- التهاب الأسنان واللثة بسبب مرض السكري: هو من الأنواع الشائعة التي يُصاب بها مرضى السكري، والتي تحتاج إلى تدخل لمنع فقدان الأسنان.
- التهاب اللثه الناجم عن البلاك: هو التهاب يحدث نتيجة تراكم البكتيريا وجزيئات الطعام على الأسنان، مما يتسبب في ظهور التهابات اللثة.
- التهابات اللثة الناجمة عن الأدوية: يحدث هذا النوع من التهابات اللثة بسبب الآثار الجانبية المصاحبة لتناول أدوية معينة.
- التهابات اللثة الناتج عن الفطريات: هي أحد أنواع التهابات اللثة التي يمكن التعرف عليها بسهولة؛ لأنها تظهر في صورة انتفاخ أو تورم على اللثة مملؤ بالقيح والصديد.
تعرف أيضًا على أنواع التهاب اللثة بالصور

أعراض التهاب اللثة
في المراحل المبكرة من التهاب اللثة، عادًة لا تكون هناك أعراض أو علامات واضحة ومميزة، ولكن بمرور الوقت، يظهر على المريض بعض الأعراض المميزة للمشكلة، مثل:
- احمرار اللثة وتورمها.
- رائحة الفم الكريهة التي لا تزول حتى بعد تنظيف الأسنان بالفرشاة.
- نزيف اللثة بسهولة، خاصًة عند تنظيف الأسنان بواسطة الفرشاة أو خيط الأسنان.
- حساسية الأسنان للأطعمة الساخنة أو الباردة.
- الشعور بالألم عند مضغ الطعام.
أسباب التهاب اللثة
تحدث التهابات اللثة نتيجة تراكم طبقة من البلاك والجير على الأسنان واللثة، كما تحدث هذه المشكلة نتيجة العديد من الأسباب الأخرى، والتي من بينها:
- التغيرات الهرمونية: خاصة تلك التغيرات التي تظهر لدى السيدات في فترات مختلفة من حياتها، مثل فترة الحمل وفي سن البلوغ وفي سن انقطاع الطمث، جميع هذه الفترات يحدث فيها تغيرات هرمونية تزيد من احتمالية حدوث التهابات اللثة.
- الإهمال في نظافة الأسنان: عدم الاهتمام باستخدام طرق تنظيف الأسنان الصحيحة والبسيطة مثل فرشاة الأسنان والمعجون وخيط الأسنان يتسبب في التهاب اللثه.
- اتباع بعض العادات الخاطئة: مثل التدخين والذي يؤثر على صحة الأسنان واللثة بصورة مباشرة.
- الإصابة ببعض الأمراض: توجد بعض الأمراض التي تؤثر على صحة الأسنان واللثة، مثل مرض السكري ومرض ضعف المناعة.
- وجود تاريخ عائلي للإصابة بأمراض اللثة: يزيد من احتمالية إصابة المريض بمشاكل اللثة.
- تناول بعض العلاجات بدون إذن من الطبيب: في بعض الأحيان يمكن أن تؤدي بعض العلاجات إلى جفاف الفم التي تؤدي للإصابة بالتهابات اللثة، ومنها أدوية علاج الصرع، بعض علاجات السرطان.
علاج التهاب اللثة
يهدف علاج التهاب اللثة بصورة رئيسية إلى السيطرة على العدوى، واستعادة صحة الأسنان واللثة في أقرب وقت ممكن ومنع فقدان الأسنان، وتشمل خيارات علاجات التهابات اللثة ما يلي:
1- تنظيف الاسنان
يساعد تنظيف الأسنان في إزالة آثار البلاك والجير المتراكمة على الأسنان، ويحدث ذلك عن طريق استخدام جهاز معين يقشر الجير المتراكم على سطح الأسنان، كما يصل إلى ما تحت اللثة.
يعمل هذا الإجراء على تنعيم سطح الأسنان، ويمنع البكتيريا من الالتصاق والتراكم على سطح الأسنان، وهو إجراء دوري هام يجب الخضوع له كل 6 أشهر من أجل الحفاظ على الأسنان.
2- الاهتمام بنظافة الفم
التنظيف الجيد للأسنان عادًة ما يمنع الإصابة بالتهابات اللثة، والاهتمام بالأسنان يجب أن يكون بصورة مستمرة وبشكل دوري حتى بعد علاج المشكلة، وذلك عن طريق استخدام فرشاة الأسنان والمعجون وغسول الفم وخيط الأسنان بصورة يومية 3 مرات.
3- القيام ببعض العلاجات الضرورية للأسنان
يقوم طبيب الأسنان بإصلاح بعض مشاكل الأسنان مثل إزالة التيجان أو الحشوات أو الجسور التي تبرز أو التي لا تثبت بشكل صحيح؛ لأن هذه المشاكل يمكن أن تؤدي إلى تهيج اللثة.
التهاب اللثة الحاد
التهاب اللثة الحاد هو أحد أنواع التهابات اللثة التي تحدث نتيجة عدوى خطيرة في اللثة، تسبب هذه الالتهابات حدوث تقرح وتورم في أنسجة الفم.
يحدث هذا النوع من الالتهاب نتيجة تراكم البكتريا على الأسنان واللثة، وتتميز بوجود بعض الأعراض والعلامات، مثل آلام حادة وشديدة في اللثة، الإفراط في اللعاب، رائحة فم كريهة، نزيف اللثة وتقرح الحليمات بين الأسنان.
تعرف أكثر على التهاب اللثة الحاد
التهاب اللثة عند الاطفال
هي عدوى تصيب اللثة عند الأطفال نتيجة إهمال نظافة الأسنان والفم، ومن المهم اكتشاف هذه المشكلة مبكرًا عند الأطفال؛ لمنع تلف الأسنان الدائم، وذلك يحدث مع عند متابعة طبيب الأسنان بصفة مستمرة، مما يقلل من فرصة إصابة الطفل بالتهابات اللثة وتسوس الأسنان.
من أشهر العلامات التحذيرية لالتهابات اللثة عند الأطفال نزيف اللثة أثناء تنظيف الأسنان بالفرشاة والخيط، احمرار اللثة وتهيجها، وجود رائحة كريهة ومزعجة.
التهاب اللثة بعد خلع الضرس
من الطبيعي أن يعاني المريض من التهاب في اللثة بعد خلع الضرس، هذا الالتهاب يقل تدريجيًا بتناول العلاجات التي وصفها الطبيب في هذه الحالة؛ مع ذلك على المريض أن يتابع حالته أولاً بأول، ويذهب إلى الطبيب على الفور في حال ملاحظة وجود مشكلة ما.

مضاعفات التهاب اللثة
إذا تُركت التهابات اللثة بدون علاج يمكن أن تتفاقم وتتطور إلى شكل أكثر خطورة من أمراض اللثة، ومن أهم المضاعفات التي يمكن أن تظهر على المريض في هذه الحالة ما يلي:
- الإصابة بالخراجات اللثة المتكررة.
- حدوث ضرر دائم في أنسجة اللثة.
- فقدان في عظام الفك الداعمة للأسنان.
- سقوط الأسنان.
- انحسار اللثة.
- فقدان الأسنان.
اقرأ المزيد عن التهاب اللثة عند الأطفال
هل التهاب اللثة يسبب ألم الأسنان؟
نعم، يمكن أن تسبب التهابات اللثة الشعور بألم في الأسنان خاصًة في حال ووصول الالتهاب إلى دواعم الأسنان، في هذه الحالة، يجب على المريض أن يتوجه فورًا إلى طبيب الأسنان المعالج.
في الختام، التهاب اللثة واحدة من المشاكل البسيطة التي قد تختفي من تلقاء نفسها بدون تدخل طبي، ولكن في أوقات معينة تحتاج إلى تدخل طبي سريع، وهنا يكون الإهمال في علاجها خطرًا ينعكس بصورة مباشرة على صحة المريض؛ لذلك ننصحكم بسرعة التوجه إلى مركز الدكتورة اسراء السعيد لطب الفم والأسنان مع ظهور أيًا من أعراض التهاب اللثه.
